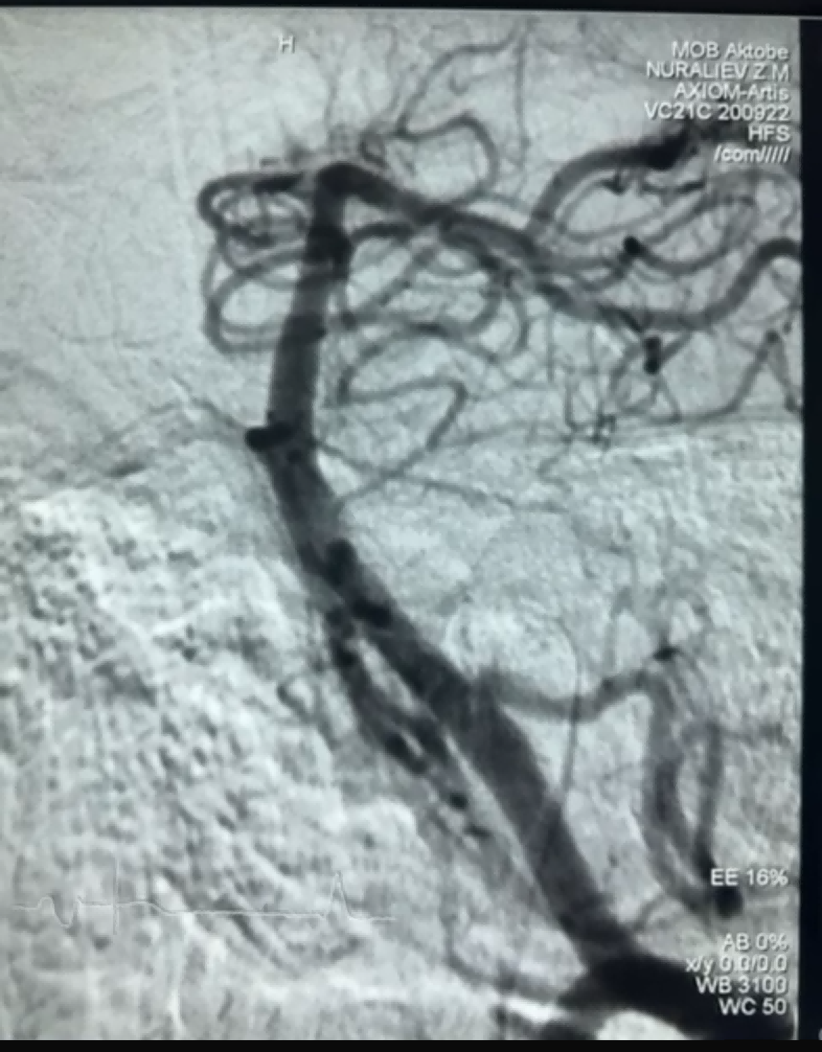
최근 NeuroSafe Medical Co., Ltd.의 Dredger Stent Retriever를 사용하여 성공적인 혈전 제거 사례가 있었습니다. Dredger Stent Retriever는 비침습적 소프트 팁을 가지고 있어 내막 손상 위험을 크게 줄이고, 주로 틈새 변화를 클램핑하여 혈전을 포획하는 고유한 특수 모양의 구멍 디자인을 가지고 있습니다.

Aug 09, 2024 메시지를 남겨주세요
최근 NeuroSafe Medical Co., Ltd.의 Dredger Stent Retriever를 사용하여 성공적인 혈전 제거 사례가 있었습니다. Dredger Stent Retriever는 비침습적 소프트 팁을 가지고 있어 내막 손상 위험을 크게 줄이고, 주로 틈새 변화를 클램핑하여 혈전을 포획하는 고유한 특수 모양의 구멍 디자인을 가지고 있습니다.

문의 보내기