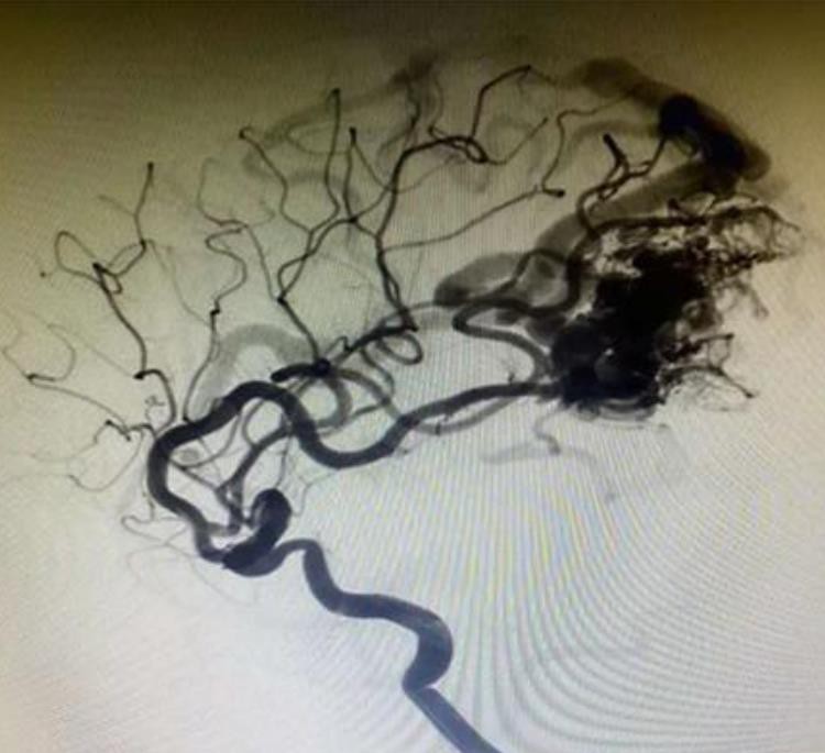
용암 -12 두개 내 동맥류 액체 색전 시스템
용암TM두개 내 동맥류 액체 색전 시스템은 혈액 또는 임의의 수용액과 접촉하고 있으며, 그 표면은 즉시 고형화되어 보호 필름을 형성합니다. 색전제의 DMSO는 혈액에 희석되고 확산되어 EVOH에 의해 감싸는 탄탈 룸 분말이 침전되고 외부에서 내부로 고형화된다. 동시에, 용암은 주입 압력 하에서 멀리 떨어진 곳으로 확산됩니다. 마지막으로, 그것은 색전술 위치에서 해면형 색전체를 형성합니다.

용암TM동맥류 색전제 시스템은 비 접착 성 물질로 만들어 졌으므로 카테터를 더 안전하고 스틱하지 않습니다.
전체 범위의 모델 용암 -12, lava -18 및 lava -34을 갖춘 독특한 저비용 공식입니다.
분산과 침투가 더 좋습니다. 그리고 병변에 깊이 침투하여 원위 혈관에 도달 할 수 있습니다.
탄탈륨 분말은 경쟁 업체에 비해 더 미세하고 천천히 침전되고 더 명확하게 방사선 촬영됩니다.

메모두개 내 동맥류 액체 색전 시스템
● 용암 액체 색전제가 고화되는지 확인하십시오. 그렇다면 먼저 해동해야합니다.
● 진동기에 용암 액체 색전제를 넣으십시오.
● 진동기를 높은 수준으로 조정하십시오.
● 흔들리는 데 20 분 이상
● 사용될 때까지.
|
제품 코드 |
점도 |
설명 |
|
용암 -12 |
12 CST |
원위 미세 혈관의 경우 점도, 더 유동성; |
|
용암 -18 |
18 CST |
표준 공식, 일반적인 사용; |
|
용암 -34 |
34 CST |
고도로, 고도로 고도도. |











